
Блискуча усмішка — це не лише ознака привабливості, а й показник здоров’я. Якщо ви шукаєте, де зробити професійну чистку та відбілювання зубів у Кременчуці якісно і безболісно, варто обрати сучасну стоматологічну клініку з досвідченими лікарями та сучасним обладнанням.
Ми зібрали топ таких закладів Кременчука:
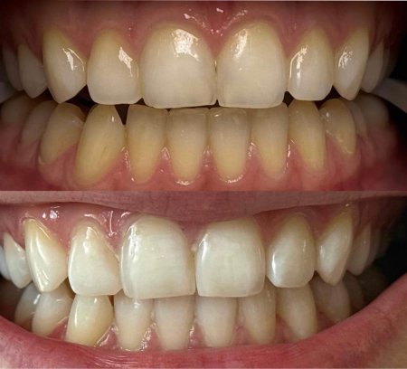
Зубний наліт, який довгий час залишається на зубах, мінералізується, після чого його неможливо зчистити зубною щіткою. Як би Ви не намагалися, в домашніх умовах Ви ніяк не зможете очистити зуби в важкодоступних місцях.
Стоматологія «Вівадент», підготувалися до чищення як ніхто інший.
В арсеналі стоматології «Вівадент» новий інноваційний апарат — AIR FLOW Prophylaxis Master, який створений для боротьби з біоплівкою на зубах та пігментацією емалі.
Плюси AIRFLOW:
AIR FLOW очистить ваші зуби до стану «нуль бактерій» без механічного контакту інструментів з поверхнею зубів: емаль очищається водно-повітряним струменем зі спеціальним порошком. Результат процедури — чисті блискучі зуби.
Фахівці стоматології «Вівадент» вже мають досвід роботи з апаратом AIR FLOW і знають його досконально.
Професійне чищення зубів слід проводити раз у 3-6 місяців, залежно від стану зубів.
Давно хотіли відбілити зуби? В стоматології «Вівадент» проводять професійне відбілювання зубів Beyond за американською технологією. Ця сучасна технологія відбілювання дає можливість досягнути вражаючого ефекту без відчуття болю і шкоди для емалі зубів.
Не забувайте про ці процедури й Ваші зуби будуть вам вдячні.
Контакти:
Адреса: вул. Покровська 17/47, тел. (09-66) 29-96-19
вул. Ігоря Сердюка 15, тел. (066-34) 8-36-33
Сайт: https://vivadent.com.ua/uk
Фейсбук: https://www.facebook.com/vivadentofficial/
Інстаграм: @vivadent_
Комплекс процедур, який подарує сяючу посмішку всього за годину!
Ідеальна усмішка всього за годину — комплекс, що змінює перше враження!
Комплекс «Чистка + Відбілювання», створений для тих, хто цінує здоровʼя своїх зубів і хоче досягти сяючого результату.
Спершу виконується професійна чистка, яка передбачає видалення твердих і м’яких зубних відкладень за допомогою сучасних методів — ультразвуку та Air-Flow, що є найбільш ощадливим для емалі.
Зуби стають гладенькими, чистими й готовими до наступного етапу — відбілювання системою Beyond II покоління. Новітня технологія забезпечує ефективне відбілювання і одночасно мінералізує зуби, роблячи їх міцнішими.
У результаті ви отримуєте помітно світлішу, сяючу й доглянуту усмішку вже після одного візиту. Цей комплекс — ідеальний вибір для тих, хто хоче швидко та безпечно покращити зовнішній вигляд своїх зубів і зберегти їх здоров’я. Запишіться сьогодні та зробіть свою посмішку справжньою окрасою!
Адреса: вул. Івана Мазепи, 57
Телефон: +380676109797
Інстаграм: @denta.mint
Фейсбук: Mayta.com.ua
Професійна чистка зубів у Кременчуці: без болю та з турботою — в LoveDent
Ваша усмішка заслуговує на найкраще! У стоматології LoveDent проводять професійну чистку зубів швидко, якісно й абсолютно безболісно.
Сучасне обладнання — ультразвукові скалери та система Air Flow — дозволяють ефективно видалити наліт і зубний камінь, освітлити емаль та забезпечити тривале відчуття свіжості. Процедура займає близько 40 хвилин, підходить і для дорослих, і для дітей. За потреби застосовується місцева анестезія — щоб вам було максимально комфортно.
Професійна гігієна ротової порожнини — це не лише естетика, а й профілактика карієсу, пародонтиту та неприємного запаху з рота.
LoveDent важливо, щоб кожен пацієнт почувався спокійно й упевнено. Тому вони дбають про атмосферу довіри, стерильність та індивідуальний підхід.
В стоматології LoveDent ви можете отримати повний спектор стоматологічних послуг:
-імплантація
-дитяча стоматологія
-хірургія
-ендодонтія
-лікування у медичному сні
-терапія
-ортодонтія
Адреса: м. Кременчук, вул. Київська, 9-Б
Телефон: +380986135377
Інстаграм: @lovelovedent
Тік ток: @_lovedent_1
Сайт: https://www.lovedent.com.ua/
СТОМАТОЛОГІЯ, В ЯКУ ВИ ТОЧНО ЗАКОХАЄТЕСЬ!
Інформація
Користувачі, які знаходяться в групі Гості, не можуть залишати коментарі до даної публікації.