
Анастасія Залоїло з Кременчука страждає на рідкісну спадкову хворобу. Їй потрібна операція на ноги. Родина просить допомоги небайдужих
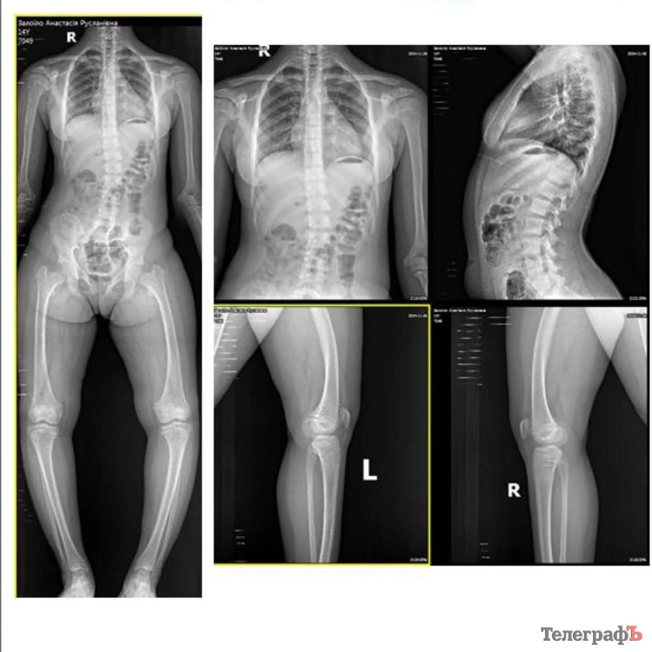
Юна кременчужанка, 15-річна Анастасія Залоїло, потребує нашої допомоги. Дівчина страждає на спадкову хворобу: метафізарна дисплазія, фосфат діабет. Простими словами в Анастасії криві ніжки.
Щоб вирівняти ноги й впевнено ходити, їй потрібно зробити операцію. Мама дівчини, Ірина Залоїло, звертається з проханням до всіх небайдужих:
На жаль, хвороба доньки не єдиний виклик, який долає жінка. В її матері виявили онкологію і зараз родина бореться за її життя. Одна крапельниця для хімієтерапії коштує близько 17000 грн Таких підряд треба три-чотири рази, кожні три тижні.
Підтримати юну Анастасію й допомогти зібрати кошти на операцію, можна перерахувавши будь-яку суму картку.
Інформація
Користувачі, які знаходяться в групі Гості, не можуть залишати коментарі до даної публікації.