Похід до дитячого стоматолога часто асоціюється зі страхом, сльозами та хвилюванням — і для малечі, і для батьків. У Кременчуці працюють клініки, де маленьких пацієнтів зустрічають з усмішкою, знаходять індивідуальний підхід до кожного та допомагають сформувати правильне ставлення до здоров’я зубів змалку:
«Ваш Стоматолог»
Стоматологія «Ваш Стоматолог» —сімейна стоматологія з повним спектром послуг: від профілактики та дитячого прийому до складного лікування й відновлення посмішки для дорослих.

Ми знаходимо підхід до кожного, щоб візит був легким і приємним. У нас діти почуваються комфортно: зручне крісло, дружня атмосфера, круті окуляри — і жодного страху.
А після прийому — подарунок, нагорода за сміливість і гарну співпрацю.
Для кожного пацієнта ми обираємо найкращий варіант лікування, за необхідності використовуємо Закис азоту чи лікування в анестезіологічному забезпеченні.
Лікування із застосуванням закису азоту
Закис азоту («звеселяючий газ») — це сучасний і безпечний спосіб знеболення, який може бути альтернативою наркозу. Він м’яко розслабляє: дитина залишається при свідомості, спокійна й без страху.
Вдихання спеціальної газової суміші зменшує біль і тривожність, роблячи лікування комфортним та безстресовим. Метод є абсолютно безпечним.
Лікування у анестезіологічному забезпеченні
Коли обсяг лікування великий і складний, найкращим рішенням часто стає лікування у медикаментозному сні.
Дитина спокійно спить, а всі необхідні стоматологічні процедури виконуються швидко, комфортно та прогнозовано.
Безпечне лікування під наркозом забезпечується роботою досвідченого анестезіолога, використанням сертифікованих препаратів і сучасного обладнання.
Ми — Одна команда. Одне місце. Для всієї родини.
Усі стоматологічні послуги в одному місці:
- Діагностика
- Терапія та професійна гігієна
- Ортодонтія (брекети, елайнери)
- Імплантація та хірургія
- Естетична стоматологія (вініри, протезування, реставрація)
Запрошуємо на консультацію:
(068) 650-58-88
м. Кременчук, вул. Небесної Сотні, 51





Boichuk Clinic
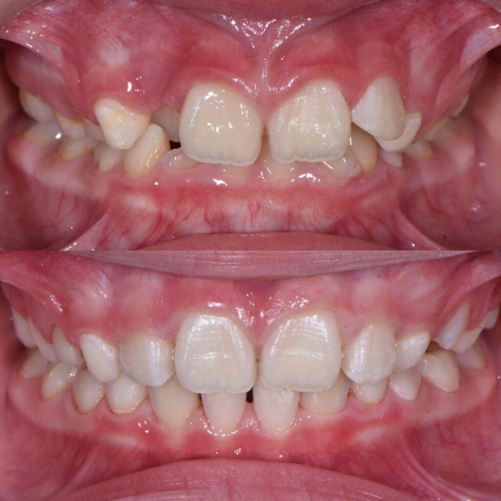
Ми — сімейна стоматологічна клініка Boichuk Clinic. Один із напрямків, який активно розвиваємо в Україні та за її межами, — вирівнювання зубів без брекетів.
Більшість дітей можна виростити без брекетів, якщо вчасно розпочати лікування. Програму ми стартуємо вже з 5 років — у період активного росту щелеп.

Усе починається з комплексної діагностики: оцінюємо об’єм щелеп, положення зачатків зубів, носове дихання, положення язика, ковтання та поставу. Адже прикус — це не лише про зуби, а про функції.
Кожна дитина має свого міоспеціаліста, який створює індивідуальну програму для корекції дихання, жування, ковтання й артикуляції язика. Через вправи та жувальне навантаження ми спрямовуємо щелепи в правильний ріст, гармонізуємо обличчя та вирівнюємо зуби — щоб у майбутньому брекети не знадобилися.
Контакти:
Адреса: вул. Троїцька, 74



LoveDent
Лікування без сліз і страху: як у стоматології LoveDent у Кременчуці піклуються про здоров’я дитячих зубів
Перший візит дитини до стоматолога часто стає вирішальним для її подальшого ставлення до лікування зубів. Невдалий досвід може надовго сформувати страх, тоді як уважний і турботливий підхід — навпаки, допоможе дитині сприймати стоматолога як друга.

Саме з таким розумінням працює стоматологія LoveDent у Кременчуці — клініка, де дитяче лікування базується на довірі, безболісності та індивідуальному підході.
Стоматологія, де діти почуваються спокійно
Клініка спеціалізується на комплексному стоматологічному лікуванні, зокрема й для дітей різного віку — від найменших пацієнтів до підлітків. Тут добре розуміють: кожна дитина унікальна, і стандартні підходи не завжди працюють. Саме тому в LoveDent роблять акцент не лише на якість лікування, а й на психологічний комфорт маленьких пацієнтів.
З першої хвилини перебування в клініці дитина відчуває спокійну, доброзичливу атмосферу. Лікарі знайомляться з дитиною, пояснюють, що буде відбуватися, показують інструменти у доступній формі. Це допомагає зняти напруження і зробити візит до стоматолога менш стресовим.
LoveDent розташована за адресою:
м. Кременчук, вул. Київська, 9-Б.
Запис на прийом здійснюється за телефоном: +38 098 613 53 77.




«Мʼята»
Сучасне та якісне лікування дітей без наркозу і страху можливе з професіоналами стоматології «Мʼята»💚
У нашій клініці малюки отримують комфортне лікування без наркозу. Ми використовуємо сучасні методи знеболення та знайомимо дитину зі стоматологією в легкій, ігровій формі. Наші лікарі вміють знайти підхід до кожного маленького пацієнта, щоб він почувався спокійно та впевнено. А в кінці кожного прийому дітки отримують подарунок.

Перший досвід відвідування стоматолога визначає все подальше ставлення до лікування зубів. Невдалий або стресовий візит може сформувати страх, який залишиться навіть у дорослому віці. Ми робимо все, щоб цього не сталося!
До нас приїжджають сім’ї з різних міст, бо знають — у нашій клініці дітям не страшно! Ми допомагаємо подолати страх перед стоматологом і створюємо позитивний досвід, що закладає основу для здорової усмішки на все життя.
Запишіться на прийом та подаруйте своїй дитині легке і комфортне лікування!
Наша адреса: вул. Івана Мазепи, 57
Запис за номером: +38 067 610 97 97




«Доктор Хавер»
«Посмішка без сліз: дбаємо про зубки вашої малечі»
Забудьте про страх перед лікуванням. У нашій клініці «Доктор Хавер» ми поєднуємо комфорт, досвід та сучасні технології, щоб кожен візит був приємним. Наша стоматологія забезпечує повний спектр послуг від професійної гігієни та лікування карієсу до естетичної реставрації для наших маленьких пацієнтів. Забронюйте час для здорової посмішки вашої дитини прямо зараз!

Чекаємо за адресою 📍вул. Івана Мазепи, 28
тел.: 096 235 7707








