Перед пацієнтами часто постає важливе питання: які імпланти краще обрати та чим вони відрізняються? Кременчуцькі стоматологи радять, як підібрати оптимальний варіант залежно від індивідуальних особливостей кожного пацієнта.
Стоматологія White Line
- Ортодонтія
- Хірургія
- Лікування уві сні
- Ортопедія
- Дитячий та дорослий прийом

За якими критеріями стоматологія White Line у Кременчуці здійснює вибір імплантів для протезування?
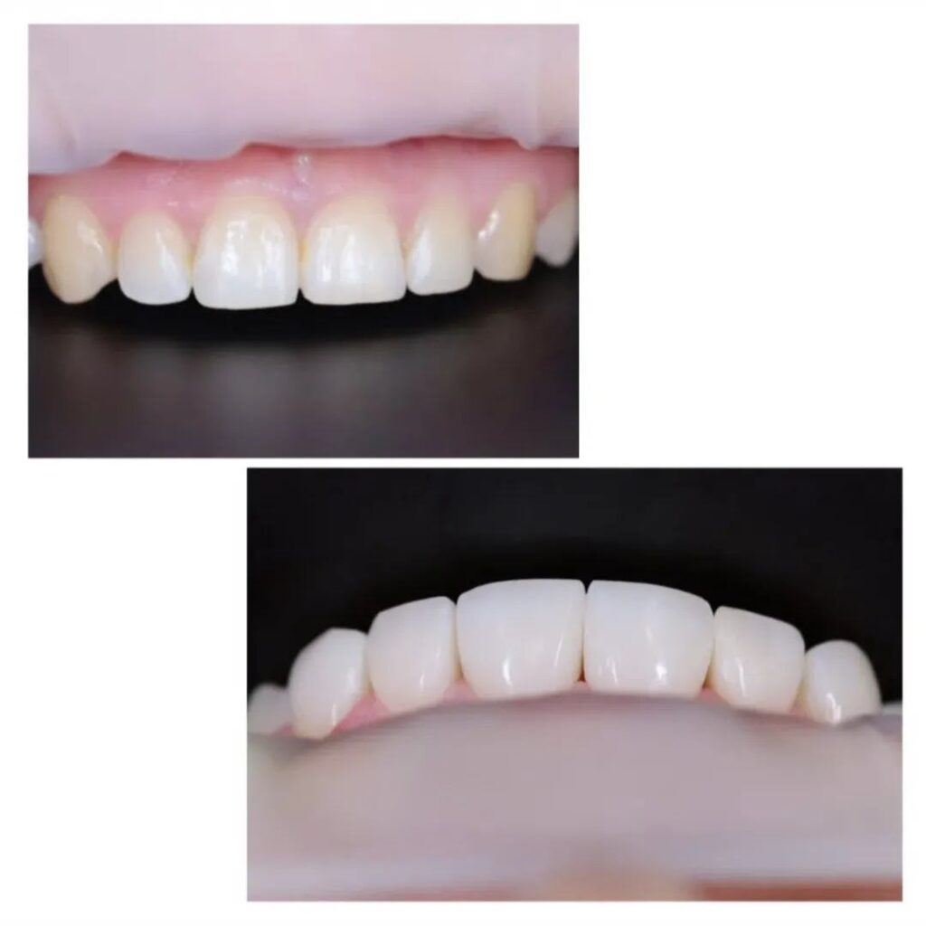
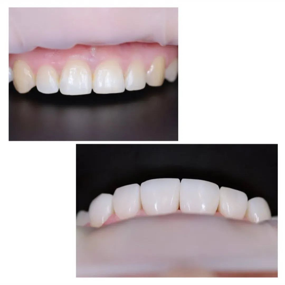
Дентальні протези – один з найефективніших і тривалих методів лікування. Імпланти – це штучно створені коренеподібні штифти з титану, які імплантуються в щелепу і служать кріпленням для зубних протезів. Цей метал максимально схожий за характеристиками на кісткову тканину і може служити до 20 років. Вимоги до коронок не менше високі, ніж до штифтів. Вони повинні бути міцними і не розколюватися при вживанні твердої їжі. Коронки робляться з металокераміки, а також діоксиду цирконію. В якості тимчасових коронок на штифт може вдягатися Металопластмаса.
Важливі критерії під час вибору імпланта нашими хірургами

В Україні зареєстровано понад 400 імплантаційних систем різної якості та різної цінової категорії. Стоматологія White Line вибрала оптимальний варіант із цього списку, та орієнтується на такі показники:
- Бренд. Серед стоматологів високо цінується продукція преміумкласу: Straumann (Швейцарія). Тому ми вибрали ці імпланти преміум сегменту як найкращі. Але треба розуміти, що найвища якість також має зворотню сторону – висока ціна. Тому для загального ринку пацієнтів ми рекомендуємо MegaGen (Південна Корея). Це висока якість у середньому ціновому сегменті.Найнадійніші зубні імпланти виготовляються на одному заводі, де виробник ретельно контролює кожен етап.
- Сумісність. Імплантаційні системи від однієї компанії мають бути сумісні з аналогічними конструкціями від інших брендів. Це своєрідна страховка на майбутнє навіть, якщо виробник піде з ринку.
- Самостійно вибрати зубний імплант — це нерозв’язне завдання для неспеціаліста. Підбір імплантаційної системи слід довірити досвідченому лікарю, який проведе 3D діагностику і запропонує відповідні варіанти реконструкції посмішки.

Адреса: вул. Покровська (Гагаріна),24
Телефон: +380 66-277-00-00
Стоматологія “ДентЛюкс”
Стоматологія “ДентЛюкс” — точність, комфорт і сучасні технології в одному місці!

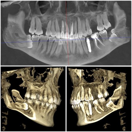
Ключ до успішної імплантації — точна діагностика. В арсеналі “ДентЛюкс” є один із найкращих КТ-апаратів в Україні— PLANMECA VISO G7.
Завдяки 3D-діагностиці імпланти встановлюються з ідеальною точністю. Результат — безпечно, комфортно та надовго.
- Працюють з імплантами топ-брендів.
- Планування — індивідуальне і цифрове.
- Лікування, протезування, ортодонтія — все в одному місці.
- Плазмоліфтинг та лазерна терапія.
- МІОТЕРАПЕВТ — для правильного прикусу і гармонії м’язів.
“ДентЛюкс” — сучасна стоматологія для сучасних людей. ?098-48-433-93
М.Кременчук, вул.Троїцька,37Б



Стоматологія «Міла Дент»
Пропонуємо: лікування, ортодонтія, брекети, хірургія, імплантація, вініри.

Стоматологія Міла Дент працює з імплантами від корейського виробника NeoBiotech. Компанія NeoBiotech з’явилась на ринку стоматології у 2000 році й одразу ж зарекомендувала себе як надійний виробник, що випускає виключно якісний товар. NeoBiotech витримала природний відбір і стала першою серед рівних – компанією, що займає провідну позицію поряд із світовими брендами імплантаційних систем.
Преміальна лінійка корейських імплантів NeoBiotech представлена більш ніж в 75 країнах світу.
– Сьогодні НеоБіотек ідеально відповідає таким критеріям, як співвідношення «ціна/якість», – розповідає лікар-хірург стоматології Міла Дент.
Середній термін протезування на імплантах від 4 до 6 місяців, в залежності від клінічної ситуації.
Також надаємо гарантію на імпланти. Тобто, якщо імплант з будь-яких причин не прижився, пацієнт не платить за повторне лікування, імплант замінять на новий безкоштовно.
Загальна статистика приживлення імплантів NeoBiotech 97-98%. Звісно, бувають різні випадки, де ризики набагато більші. Але в нашій клініці є досвід установлення імплантів людям, хворим на цукровий діабет, з захворюванями серця, артритами. І успішно все працює, і люди задоволені.”
Актуальні відповіді на питання, які задають пацієнти на консультації:
- Ціна за один імплантат (хірургічна частина) — від 12 500 грн(в залежності від складності операції)
- Далі, після приживлення імпланту, – протезування, коронки, протези – індивідуально по ситуації.
- Стоматологічні імпланти — це інвестиція у здоров’я, впевненість і красу усмішки.
Відкрийте нову якість життя з імплантами!
Контакти:
Адреса: вул. Винахідниці Ющенко, 15/1 (колиш. Генерала Іренеєва)
Тел.: 098 041 87 75, 097 490 60 34





Стоматологія «Мрія»
Сучасна стоматологія дозволяє відновити втрачені зуби настільки природно, що відрізнити імплант від власного зуба практично неможливо. Саме тому дедалі більше кременчужан обирають цей метод лікування.
Як підібрати імпланти правильно? Стоматологи радять звертати увагу на якість матеріалів, гарантії виробника та досвід лікаря. Від цього залежить не лише комфорт, а й довговічність результату.

Клініка «Мрія» у Кременчуці працює за перевіреними методиками, які дозволяють відновити усмішку всього за 7 діб — навіть у випадках повної відсутності зубів. Лікарі обирають рішення індивідуально, щоб кожен пацієнт отримав стабільний і передбачуваний результат.
Важливою перевагою є співпраця з мережею клінік «Кринички» у Києві. Це партнерство забезпечує обмін досвідом і впровадження сучасних протоколів, завдяки чому кременчужани отримують стоматологічні послуги на рівні столичних центрів.
Клініка «Мрія» поєднує досвід лікарів, сучасні технології та уважне ставлення до кожного пацієнта. Тут переконані: здорова усмішка змінює якість життя, додає впевненості та дарує гарний настрій щодня.

Адреси клінік:
Кременчук — вул. 278-й квартал, 12
Київ — вул. Мокра, 7 (мережа «Кринички»)
Телефони для запису в клініку «Мрія»:
068 527 52 75
066 745 34 00
Тут починається ваша ідеальна усмішка.

