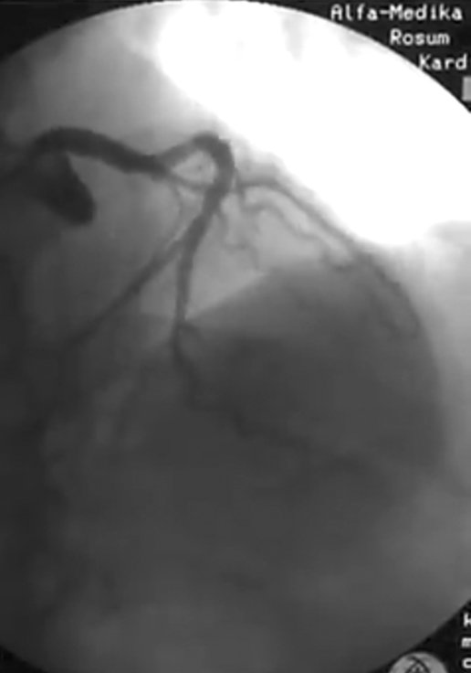
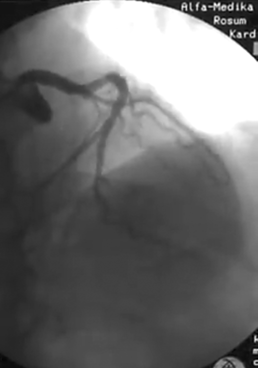
В Кременчуге заработала программа «Стоп-инфаркт». В этом году на нее выделено 2 миллиона гривень – средства направят на проведение ургентных стентирований при остром инфаркте миокарда. По информации главврача Объединенной больницы «Кременчугская» Виктора Сычёва, финансирования хватит на выполнение 100 коронарографий (обследование артерий, при котором выявляются места их сужения) и 75 стентирований.
Кто может получить бесплатное лечение? Как отмечает врач, стентирование сердца проводят в остром периоде инфаркта миокарда, которому не более суток. Поэтому, если сердце «давит» с понедельника, не стоит затягивать с вызовом «скорой помощи»: при своевременном обращении у вас есть шанс попасть под действие программы и получить дорогостоящее лечение (стоимость процедур около 20 тыс грн) за бюджетные средства:
Кроме бесплатной коронарографии и установки стентов программа предусматривает обеспечение таких пациентов бесплатными лекарствами в течение первых суток лечения. Для этого из бюджета выделены 350 тыс грн.
Программа «Стоп-инфаркт» рассчитана на 2017–2020 года. На ее реализацию планируют потратить более 40 миллионов гривень. Эти средства направлят на открытие в городе филиала «Института сердца», закупку дополнительного оборудования и внедрение операций на работающем сердце.
языком цифр
Около 300 пациентов в год в среднем поступает в Третью горбольницу с инфарктом миокарда. Однако не все эти инфаркты «суточные», которые могут подпадать под действие программы «Стоп-инфаркт».
Количество смертей от сердечно-сосудистых заболеваний в Кременчуге растет. В частности, в 2013 году этот показатель составлял 68%, в 2014 году – 68,3%, в 2015 году – 70%.
В тему:
Кременчугские медики готовы стентировать при ишемическом инсульте
В объединенной больнице «Кременчугская» (3 и 4 больницы) готовы стентировать сонные артерии и удалять тромбы при ишемических инсультах. Как отмечает главврач Виктор Сычёв, у них есть необходимые специалисты для проведения таких операций:
Виктор Сычёв добавляет, что подобные операции даже в Полтаве проводят редко. Ранее кремечужанам приходилось ездить в Киев, Харьков и другие города, но теперь лечение можно будет получить в Кременчуге.
